入れ歯(義歯)とは
|
本当の自分の口にぴったりと合った、咬み心地のよい、かめる入れ歯を作るためには、入れ歯の型をとる操作はもちろん、咬み合わせのことを考えて作ることが重要になります。
正確な型をとり、咬み合わせを正確に調べ、機能的で、咬み心地のよい、かめる入れ歯をつくるため十分な時間をかけます。 |
![]() |
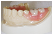
部分入れ歯
|
幾本かなくなった歯やなくなった骨の一部を補い、形態や見た目の不良を回復するための入れ歯です。
1本だけ失った場合でも、1本しか歯が残っていない場合でも可能です。治療の効果が確実で噛む機能の回復が十分に行われ、しかも入れ歯による残存組織への害も少ないので、長期に渡って使用が可能です。 |
![]() |
総入れ歯
|
総入れ歯を利用している方の中には合わない入れ歯を使っている方もいらっしゃいます。よく噛めない、すぐ外れてしまう、食事を楽しむことができないといった悩みをお持ちです。だからこそ、しっかりとした総入れ歯を作ることをお勧めいたします。また、入れ歯は保険適用で作ることができます。
|
![]() |
入れ歯(義歯)の種類
金属床金属床義歯とは、義歯床が金属で出来ている入れ歯です。義歯床を金属にすることで入れ歯を薄くすることができるので、違和感が少ない入れ歯を作れる可能性が高くなります。とても強度が強いので破損しにくく、無意識に感じる重さのストレス解消ができます。
|
![]() |
バルブラストバルプラストとは、金属バネのない入れ歯です。弾力のある素材なので、破折する事はほとんどありません。ですので、薄く作れる為、普通の入れ歯の1/2程度の重さになり、違和感も少ないです。無味・無臭でアレルギー反応も少なく、金属アレルギーの方にも適しています。特徴として、金属のバネが無いので、入れ歯であることに気づかれることはありません。
|
![]() |
インプラントオーバーデンチャー最低2~4本のインプラントを用いて、現在使用している入れ歯をしっかりと安定させる治療法です。
入れ歯の安定が得られるため、入れ歯でも良く噛め、快適な食事が可能です。 |
![]() |







